06.11.2024 / clinical cases / newsletter

→ Back To All News

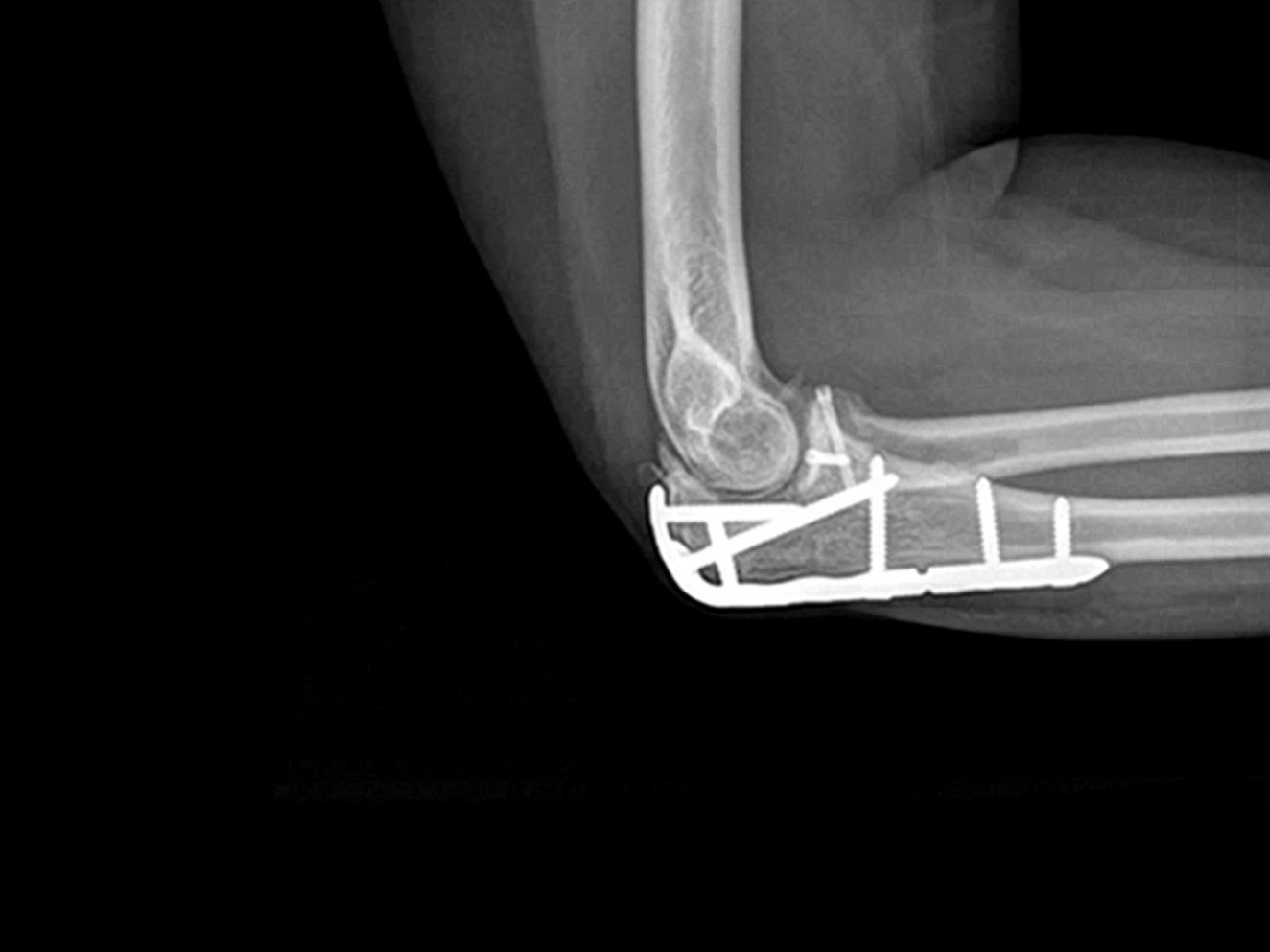
LEPORELLO CLINICAL CASE: COMMINUTED, OPEN OLECRANON FRACTURE WITH CONCOMITANT RADIAL HEAD FRACTURE

We present a case of a comminuted, open fracture of the olecranon (AO 2U1C) with a concomitant fracture of the radial head (AO 2R1C).