29.07.2025 / clinical cases / newsletter

→ Back To All News

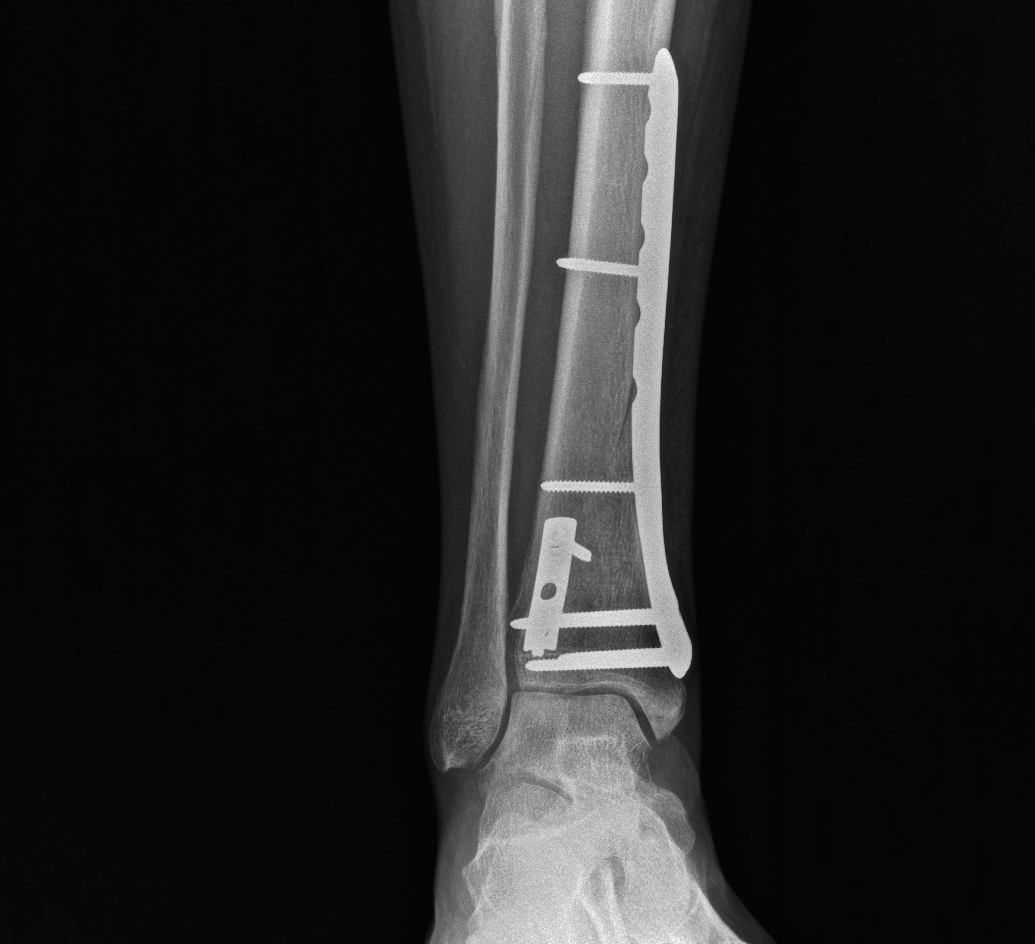
SALTI CLINICAL CASE: WORKSITE FALL RESULTING IN A PILON FRACTURE

We present a case of a healthy 50-year-old male bricklayer who sustained injuries in an accident at work. After falling approximately 2–3 meters on a construction site, he suffered a pilon fracture of the right tibia.

SALTI x-ray crop